O controle biológico é um fenômeno que acontece naturalmente nos ambientes tanto agrícolas quanto urbanos.
Acontece que, muitas vezes, é associado somente com cultivos orgânicos, o que deve ser desmistificado.
Esse método é um dos pilares do Manejo Integrado de Pragas (MIP), no qual pode e deve ser utilizado tanto de forma conservativa como clássica e aumentativa.

Atualmente, o mercado de biodefensivos tem crescido muito, devido ao apelo por práticas mais sustentáveis na agricultura.
Vou te apresentar um pouco melhor os conceitos e a aplicabilidade desse método.
Índice de Conteúdo (clique e vá direto ao assunto que procura)
- 1. Controle biológico
- 2. Tipos de controle biológico na agricultura
- 3. Agentes de controle biológico
- Conclusão
- Falar com um analista CHBAGRO
Controle biológico
O controle biológico é a ação de inimigos naturais das pragas, que ocorre em qualquer ecossistema, para que ocorra um equilíbrio populacional dinâmico das espécies.
Na maioria das vezes, esse método é associado apenas com cultivos agrícolas orgânicos, o que deve ser melhor esclarecido.
No MIP, o intuito é não somente reduzir o uso incorreto dos defensivos agrícolas, mas também introduzir práticas como essa para tornar o agroecossistema mais equilibrado.
Por isso, esse método deve ser visto como um pilar do manejo e não como uma alternativa.

Países da Europa, por exemplo, têm uma aplicabilidade maior do método do que no Brasil. Entretanto, é bom lembrar que a realidade brasileira é muito diferente da europeia.
No Brasil, por ter áreas extensas e com um grande número de monoculturas, além do clima ser tropical, as condições são ideais para as pragas se desenvolverem e causarem surtos.
Pensando nisso, você deve estar se perguntando como é possível fazer controle biológico nas nossas condições, não é?
Por isso vou te apresentar os tipos de controle biológico.
Tipos de controle biológico na agricultura
Esse método pode contribuir para a redução das pragas com a manipulação, interferência e facilitação humana.
Existem três formas de manipulação do controle biológico.
Essas táticas podem ser usadas isoladas ou de forma integrada.
No MIP, é recomendado que sejam usadas integradamente para que ocorra uma maior efetividade do método.
Controle Biológico Clássico ou por Importação
Quando ocorre a introdução de uma espécie exótica em uma nova região, ocorre um desbalanço do ecossistema, o que muitas vezes causa danos à agricultura.
Quando há danos, essa espécie já se tornou praga devido à falta de recursos que limitem a permanência desses organismos no ambiente.
Um desses recursos é a falta de inimigos naturais que controlam a população do organismo.
No controle biológico clássico, ocorre a importação de um inimigo natural da praga exótica, preferencialmente de sua região de origem, para que seja introduzido, liberado e estabelecido, visando equilíbrio populacional do organismo invasor.
O controle biológico clássico é realizado por instituições de pesquisa, como órgãos federais e universidades buscando conhecer e introduzir inimigos naturais com potencial de uso.
Os inimigos naturais só podem ser utilizados após devida autorização do governo federal – Ministério da Agricultura, Pecuária e Abastecimento (MAPA), Ministério do Meio Ambiente (MMA) e Instituto Brasileiro do Meio Ambiente (IBAMA).
Controle Biológico Conservativo
O próprio agroecossistema abriga diversas espécies de inimigos naturais que são capazes de controlar boa parte da população das pragas.
Pode acontecer desses organismos não terem como se manter na área, por isso esse tipo de controle visa o manejo do agroecossistema de maneira que os organismos benéficos possam ser preservados e suas populações aumentem.
Para que isso aconteça, é importante que você forneça as condições para que possam se alimentar enquanto não há a presença da praga.
Por exemplo, predadores e parasitoides necessitam de presas ou alimentos alternativos para a sobrevivência e longevidade.
Ao fornecer fontes de carboidratos, como néctar, e de proteínas, como pólen, as chances de conservá-los no ambiente são grandes.
Além disso, é fundamental manter áreas de refúgio com microclima favorável para que esses organismos tenham capacidade de se desenvolverem.
Controle Biológico Aumentativo
Nesse caso, os agentes de controle biológico serão produzidos em grande escala em biofábricas para serem liberados no campo.
Aqui, diferentemente dos outros tipos, o controle vai acontecer em curto prazo.
Tanto os micro quanto os macrorganismos são produzidos. Entretanto, atualmente, os produtos microbiológicos têm sido mais adotados para o controle de artrópodes e doenças de plantas.
Existem duas estratégias que podem ser adotadas para a liberação desses organismos no agroecossistema.
- Estratégia inoculativa: as liberações são feitas durante períodos do ciclo da praga, visando que os inimigos naturais permaneçam na área por mais tempo. Podem controlar mais de uma geração.
- Estratégia inundativa: nesse caso, os inimigos naturais são liberados periodicamente em grandes quantidades e vão agir de imediato. É mais comum que sejam utilizados microrganismos com essa estratégia de manejo.
Agentes de controle biológico
Para o controle de artrópodes-praga e de doenças de plantas existem diferentes agentes de controle. Eles podem ser macro (predadores e parasitoides) ou microbiológicos (patógenos).
Predadores
Alguns exemplos de predadores agentes de controle biológico:
Orius insidiosus
Predador muito utilizado para o controle de tripés.

Fonte: John Ruberson, Kansas State University, Bugwood.org
Neoseiulus californicus
Predador utilizado para controle de mosca-branca.

Fonte: KOPPERT
Parasitoides
Alguns exemplos de parasitoides agentes de controle biológico:
Trichogramma pretiosum
Parasitoide utilizado para controle de lepidópteros-praga.

Fonte: KOPPERT
Cotesia flavipes
Parasitoide utilizado para controle da broca-da-cana.

Fonte: Heraldo N. de Oliveira, EMBRAPA
Patógenos
Beauveria bassiana
Fungo entomopatogênico usado para controle de diversas pragas.

Fonte: Keith Weller, USDA Agricultural Research Service, Bugwood.org
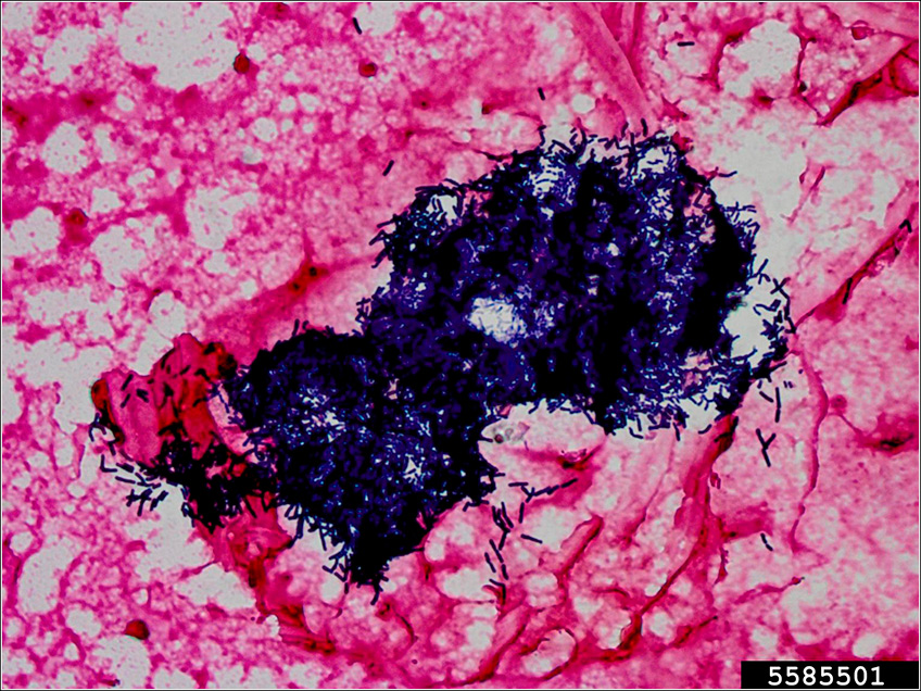
Bacillus thuringiensis
Bactéria entomopatogênica utilizada para controle de lagartas.

Fonte: Ansel Oommen, Bugwood.org
Conclusão
Neste artigo você viu que o controle biológico é um método imprescindível para o controle de pragas no MIP.
Você viu que existem três tipos de controle. São recomendados que sejam utilizados em conjunto para que o método seja mais eficaz.
Existem diversos agentes de controle biológico no mercado brasileiro produzidos por biofábricas de podem ser liberados de forma inoculativa ou inundativa.
---
Saiba mais sobre o único Software Agrícola completo do Brasil!
O CHBAGRO já atende 600 fazendas em todo país.
Se preferir, envie um e-mail para contato@chbagro.com.br ou ligue 16) 3713.0200.
